在开展RNA FISH实验时面临以下需求或者问题怎么破?
检测RNA表达定位的同时,还想整合组织与细胞形态学进行分析;
需要对信号结果进行长期保存和回顾性研究,尤其是临床样品;
样本自发荧光强导致背景信号高,使用常规荧光标记方式影响信号判读;
实验平台没有高级的荧光显微镜,只有普通的光学显微镜。
别慌,看看我们的明场版RNA FISH试剂盒,一盒解决上述问题!
基于自主研发的π-FISH rainbow技术,继推出荧光直标【链接】和化学显色【链接】两种版本之后,针对更多的研究需求鲲羽生物现推出适明场显色的RNA FISH试剂盒版本,将π-FISH技术与明场显色方式结合,可以直接在明场显微镜下进行信号的观察,避免样本自发荧光的同时,还可以整合样品的组织与细胞形态学进行分析,此外还可以使信号保存的更久,十分适合临床检测需求。

明场显色原理介绍:
在原来π字形探针和U型放大系统的基础之上,使用HRP(辣根过氧化物酶)或者AP(碱性磷酸酶)修饰的探针来代替荧光标记的探针,然后使用对应的显色底物进行反应,即可生成明场显微镜可以直接观察的颜色信号,此信号稳定且可以长期留存。
此外还可以在此基础之上进行苏木素染色,以更清晰地获得组织与细胞形态学信息,进行整合分析。
技术优势:
相对于荧光显色(荧光直标和化学放大)方式,明场显色具有以下独特的技术优势
整合组织与细胞形态学信息
在进行RNAFISH杂交与显色流程之后,还可以对样品非常方便地进行苏木素等染料进行复染,然后直接使用明场显微镜进行观察,从而在同一张切片上清晰地展示组织形态、细胞结构和特异的RNA信号,进行整合分析,尤其在肿瘤研究与病理诊断上十分重要。
信号稳定,成像便捷
由特定的酶和底物反应产生的有色沉淀是化学稳定的,不需要额外处理便可以长期保存,满足临床样本长期保存以及回顾性、大队列研究等需求,且仅需普通光学显微镜即可观察成像,不用配置昂贵的或者特殊激发通道的荧光显微镜。
无自发荧光干扰
采用明场显色生成特异颜色信号,可有效避免样本因处理不当或者自带荧光物质等原因导致的自发荧光带来的荧光信号干扰,确保组织形态与基因表达判读准确。
更多优势欢迎结合特殊需求进行开发。
案例展示:

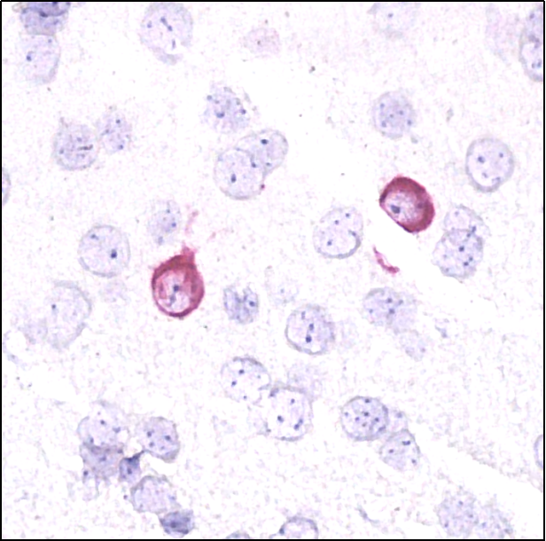
鼠脑石蜡切片样品基因原位检测

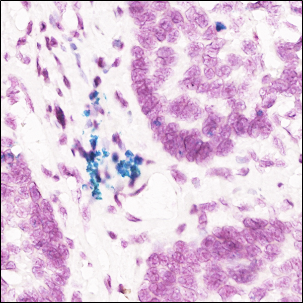
人膀胱癌石蜡切片样品基因原位检测

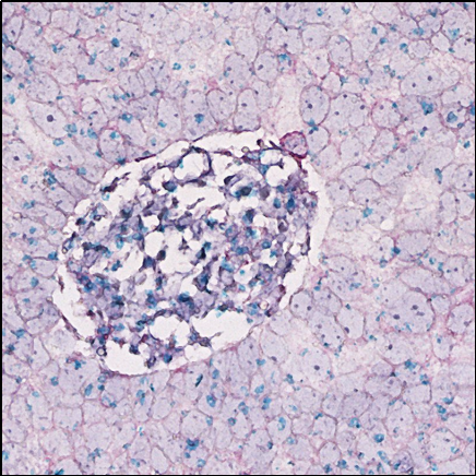
鼠脑冰冻切片样品基因原位检测

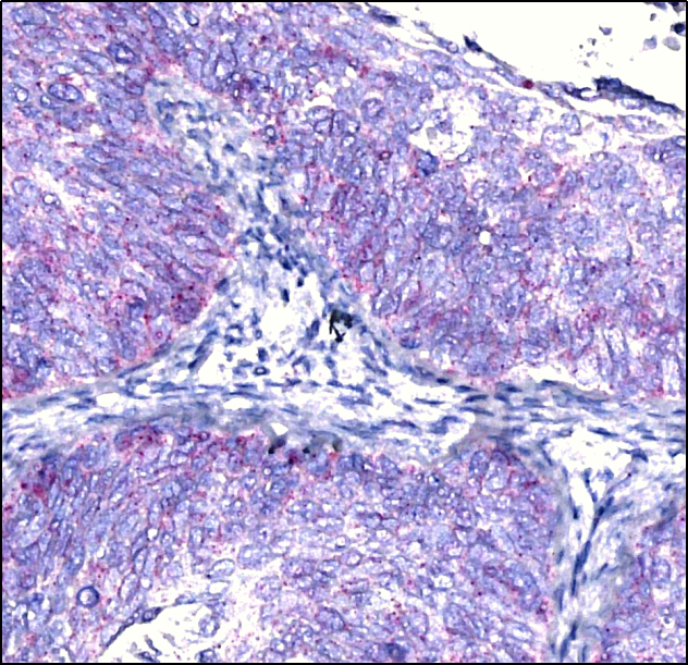
人乳腺癌石蜡切片样品基因原位检测

人宫颈癌石蜡切片样品基因原位检测
鲲羽生物秉承持续创新,解决不同需求的理念,后续鲲羽生物π-FISH rainbow RNA FISH试剂盒还会继续升级,推出RNA与蛋白“无伤”共检方案,拓宽检测范围,实现跨组学整合分析,敬请期待。